インプラントIMPLANT
ご希望最優先の治療計画と10年保証
当院では、大学病院准教授と日本口腔インプラント学会専門医だけが治療を担当しますので安心です。
当院の特徴FEATURE
- 01. 大学病院准教授
当院インプラント担当医の森永健三が大阪歯科大学准教授に昇進しました。 - 02. 診断シミュレーション
歯科用CTエックス線検査と専用診断ソフトを用いて、インプラントを埋め込む位置,角度,深さを精密にシミュレーション後、再度カウンセリングし同意が得られれば治療に進みます。 - 03. 手術環境
手術用照明(無影灯)や顕微鏡(マイクロスコープ),超音波切削器具(ピエゾ),生体モニター等設置のうえ、徹底的に清潔な手術領域を確保したOpe室を完備。 - 04. 10年保証
定期的メインテナンスで10年保証(当院保証3年+第三者機関保証7年) >治療費の項目参照 - インプラント専門医 案西
- インプラント専門医 森永
- 日本口腔外科認定医 福永
診療内容MEDICAL SERVICE
インプラント治療費Implant treatment costs
安心安全で良質なインプラントを良心的な価格でご提供
日本口腔インプラント学会認定専門医の施術としては、地域で最も安価な治療費を設定し、多くの患者様の機能回復に貢献しています。
※医療費控除の対象です。
※医療費控除の対象です。
| 初診相談 | 無 料 |
|---|---|
| インプラント埋入手術代(1歯)※a | 187,000円(税込) |
| 上部構造装着代(セラミック冠)※b | 110,000円(税込) |
| 総 額 | 297,000円(税込) |
※a 1本目埋入時のみ 220,000円(税込)2本目以降上記
※b オールセラミック冠希望の場合1歯132,000円(税込)
※b オールセラミック冠希望の場合1歯132,000円(税込)
-
1.カウンセリング・検査患者様の希望優先で最適な治療法と必要最小限の治療費を提案します。その後、CTエックス線検査を行い、治療計画をカウンセリングし、同意が得られたら手術に進みます。

-
2.歯のクリーニングなどインプラント手術をより確実に行うためのお口の環境整備として歯のクリーニン グなどを行います。
-
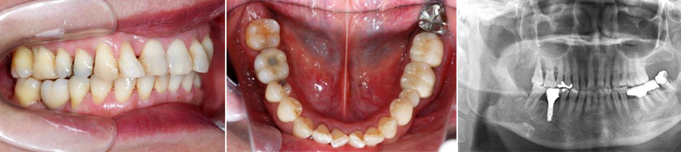
3.一次手術(インプラント埋入手術)顎の骨にインプラントを埋め込む手術です。歯肉を開き、顎の骨にインプラントと同じ大きさの穴をドリルで開けます。しっかりと固定できるように、顎の骨にインプラントを埋め込み、歯肉を閉じます。手術終了後、注意事項などを説明します。

-
4.待機期間骨とインプラントが完全に結合するまで、インプラントに負担がかからないようケアしながら治癒を待ちます(下顎で2~3ヵ月ほど、上顎なら3~4ヵ月ほど)。この間、1~2回来院してもらうことがあります。
-
5.連結装置(アバットメント)の装着待機が済んだら歯肉を再度開いて、骨とインプラントの結合を確認します。その後、上部構造の土台となる連結装置(アバットメント)を装着します。


-
6.上部構造(セラミック冠)の製作・装着セラミック冠などの上部構造を製作するために歯型を採り、仕上がったら装着して完了です。自分の歯に近い自然な仕上がりになります。


-
7.メインテナンスお口の中の状態によって異なりますが、治療完了後は2~3ヶ月に一度メインテナンスを行います。
インプラント診療の流れFLOW OF IMPLANT MEDICAL
私たちが担当いたしますDOCTOR IN CHARGE

-
案西 浩平KOHEI ANZAI所属 赤坂総合デンタルオフィス
※医療法人社団桜香理事長
<経歴>
1989年 九州歯科大学卒業
1993年 あんざい歯科クリニック開業
1998年 医療法人社団桜香設立(理事長就任) -
<資格経歴等>
2004年 厚労省臨床研修指導歯科医(第16-35号)
2008年 日本顎咬合学会認定医(第4737号)
2013年 日本口腔インプラント学会専門医(第922号)
2014年 日本歯科放射線学会歯科放射線認定医(第336号)
2015年 福岡医健専門学校歯科衛生士科教育課程編成委員
<論文等>
日本口腔インプラント学会誌第24巻第1号
A Case of Root-Fractured Upper Central Incisor Treated with Immediate Implant Placement

-
森永 健三KENZO MORINAGA所属 大阪歯科大学口腔インプラント科准教授
赤坂総合デンタルオフィス(土曜勤務)
<経歴>
2004年 福岡歯科大学卒業
2008年 福岡歯科大学大学院博士課程(口腔インプラント学)修了
2013年 福岡歯科大学咬合修復学講座口腔インプラント学分野 講師
2015年 The UCLA School of Dentistry Weintraub Center for Reconstructive Biotechnology.
Visiting Asst. Project Scientist(~2017年米国留学)
2021年 医療法人社団桜香 赤坂総合デンタルオフィス入職
2022年 大阪歯科大学口腔インプラント学講座 講師
2024年 大阪歯科大学口腔インプラント学講座 准教授 -
<所属学会資格等>
2013年 厚労省臨床研修指導歯科医(第25-117号)
2014年 日本口腔インプラント学会 専門医
2015年 日本顎顔面インプラント学会 専門医
2018年 優秀研究発表賞
(第48回(社)日本口腔インプラント学会学術大会)
2018年 Active member Academy of Osseointegration
2020年 日本補綴歯科学会 認定医
<論文等>
「カテプシンKの活性を利用した病的骨吸収の早期検出生体イメージング技術の開発」
「Micro-CTを用いたチタン・骨界面の微細構造の観察」
口腔外科ORAL SURGERY
歯科口腔外科の診療分野として、主に親知らずなど難しい抜歯を行うほか、口腔粘膜や顎骨の病変(嚢胞や腫瘍)、外傷や顎関節症に対応します。
その他増加傾向にある舌癌などの口腔がん検診の初期対応も行いますので少しでも気になる方はご相談下さい。
当院では、九州医療センターや九州大学病院歯科口腔外科から赴任した勤務医が担当します。
診療内容MEDICAL SERVICE
-
難しい抜歯
親知らずや骨に埋まっている歯の抜歯は困難な症例が多く、専門的な知識や手技が必要となり、術後の痛みや腫れにも影響を及ぼします。
詳しくはこちら -
口の中のできもの
口の中やその周辺のできものには、経過観察でよいもの、投薬が必要なもの、精密検査や手術が必要なものなど様々あり、初期段階での発見、診察が重要です。
詳しくはこちら -
舌の痛み
舌は筋肉でできており、感覚も鋭い器官です。明らかなできものがなくても、ピリピリした痛みを感じたりすることもあるのでまずはご相談下さい。
詳しくはこちら -
顎骨の病変
虫歯が歯の神経に波及したり、重い歯周病によって骨まで細菌感染が達し、ひどくなると、頬が腫れたり、膿の袋や嚢胞という病変を形成することもあります。
詳しくはこちら -
あごの痛み
耳の前方にある顎関節に痛みが出た場合は顎関節症の可能性があります。また、顎への強い衝撃による骨折の可能性もあります。
詳しくはこちら -
歯周組織再生療法
1度失われた歯周組織はふつう元に戻りませんが、再生誘導剤を使用した歯周外科によって回復が可能となります。
詳しくはこちら
私たちが担当いたしますDOCTOR IN CHARGE

-
福永 大二郎DAIJIRO FUKUNAGA所属 社会医療法人原土井病院歯科口腔外科医長
赤坂総合デンタルオフィス(土曜勤務)
<経歴>
2010年 九州大学歯学部卒業
2010年~ 国立病院機構九州医療センター歯科口腔外科 入局
2016・2017年 社会医療法人原土井病院 歯科医長
2019年~ 国立病院機構九州医療センター歯科口腔外科 常勤医師
2021年 医療法人社団桜香 赤坂総合デンタルオフィス 入職
2022年 社会医療法人原土井病院歯科口腔外科医長 -
<所属学会資格等>
2016年 日本口腔外科学会 認定医取得
2019年 厚労省臨床研修指導歯科医 取得
日本有病者歯科医療学会
緩和ケア研修会 修了
<執筆文等>
「疾患を有する高齢者の口腔健康管理」
項目『周術期口腔機能管理の重要性』
(一財)口腔保険協会 p.117-122

-
朝永 匡TADASHI TOMONAGA所属 赤坂総合デンタルオフィス
<経歴>
2021年 九州大学歯学部卒業
2021年 九州大学病院勤務(顎口腔外科)
2024年 医療法人社団桜香 赤坂総合デンタルオフィス入職